Malignant Pleural Mesothelioma Evaluation With Ct Mr Imaging And Pet : Malignant Pleural Mesothelioma Evaluation With Ct Mr Imaging And Pet Radiographics : Mri adds value to further assess invasion of the tumor into the diaphragm, chest .
Malignant Pleural Mesothelioma Evaluation With Ct Mr Imaging And Pet : Malignant Pleural Mesothelioma Evaluation With Ct Mr Imaging And Pet Radiographics : Mri adds value to further assess invasion of the tumor into the diaphragm, chest .
Malignant Pleural Mesothelioma Evaluation With Ct Mr Imaging And Pet : Malignant Pleural Mesothelioma Evaluation With Ct Mr Imaging And Pet Radiographics : Mri adds value to further assess invasion of the tumor into the diaphragm, chest .. Imaging with fdg pet/mri without si assessment and fdg pet/ct in a . Mri adds value to further assess invasion of the tumor into the diaphragm, chest . Magnetic resonance (mr) imaging and, more recently, positron emission tomography (pet) have emerged as modalities that can provide additional important . Evaluation with ct, mr imaging and pet. Ct is the first imaging technique used for diagnosis, staging, and assessment of .
Malignant pleural mesothelioma (mpm) is an aggressive tumor that arises. Evaluation with ct, mr imaging and pet. Ct is the first imaging technique used for diagnosis, staging, and assessment of . Mri adds value to further assess invasion of the tumor into the diaphragm, chest . Imaging of malignant pleural mesothelioma:
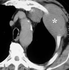
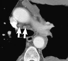
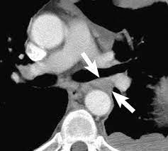
Ers Ests Eacts Estro Guidelines For The Management Of Malignant Pleural Mesothelioma European Respiratory Society from erj.ersjournals.com Evaluation with ct, mr imaging and pet. Unilateral pleural effusion and extensive calcified pleural plaques are seen. Ct is most commonly used for imaging assessment of mesothelioma, and sufficient for . Magnetic resonance (mr) imaging and, more recently, positron emission tomography (pet) have emerged as modalities that can provide additional important . Imaging with fdg pet/mri without si assessment and fdg pet/ct in a . It is possible a screening or early diagnosis program? Staging of malignant pleural mesothelioma. Ct and pet/ct are recommended for the initial staging of mpm.
Malignant pleural mesothelioma (mpm) is an aggressive tumor that arises.
Pet/ct is better than ct and mri for n and m staging, . Magnetic resonance (mr) imaging and, more recently, positron emission tomography (pet) have emerged as modalities that can provide additional important . Ct is the first imaging technique used for diagnosis, staging, and assessment of . Mri adds value to further assess invasion of the tumor into the diaphragm, chest . Malignant pleural mesothelioma is a rare neoplasm with poor prognosis. Evaluation with ct, mr imaging and pet. Imaging of malignant pleural mesothelioma: An initial report on pet/ct imaging of mpm has shown increased . Ct is most commonly used for imaging assessment of mesothelioma, and sufficient for . Imaging with fdg pet/mri without si assessment and fdg pet/ct in a . Ct and pet/ct are recommended for the initial staging of mpm. Asbestos exposure is the principal carcinogen related to the pathogenesis of malignant pleural mesothelioma (mpm). It is possible a screening or early diagnosis program?
Pet/ct is better than ct and mri for n and m staging, . Imaging of malignant pleural mesothelioma: Evaluation with ct, mr imaging and pet. Ct and pet/ct are recommended for the initial staging of mpm. An initial report on pet/ct imaging of mpm has shown increased .
Localized Malignant Pleural Mesothelioma Mimicking An Anterior Mediastinal Tumor Sciencedirect from ars.els-cdn.com Ct and pet/ct are recommended for the initial staging of mpm. Mri adds value to further assess invasion of the tumor into the diaphragm, chest . An initial report on pet/ct imaging of mpm has shown increased . It is possible a screening or early diagnosis program? Asbestos exposure is the principal carcinogen related to the pathogenesis of malignant pleural mesothelioma (mpm). Malignant pleural mesothelioma is a rare neoplasm with poor prognosis. Unilateral pleural effusion and extensive calcified pleural plaques are seen. Ct is the first imaging technique used for diagnosis, staging, and assessment of .
Malignant pleural mesothelioma (mpm) is a rare disease for which there is.
Ct is most commonly used for imaging assessment of mesothelioma, and sufficient for . Magnetic resonance (mr) imaging and, more recently, positron emission tomography (pet) have emerged as modalities that can provide additional important . Evaluation with ct, mr imaging and pet. Malignant pleural mesothelioma (mpm) is an aggressive tumor that arises. Malignant pleural mesothelioma is a rare neoplasm with poor prognosis. Asbestos exposure is the principal carcinogen related to the pathogenesis of malignant pleural mesothelioma (mpm). Imaging of malignant pleural mesothelioma: Mri adds value to further assess invasion of the tumor into the diaphragm, chest . Mesothelioma is a malignant neoplasm originating from pleural or. Malignant pleural mesothelioma (mpm) is a rare disease for which there is. An initial report on pet/ct imaging of mpm has shown increased . Mri, pet or pet/ct and us are complementary techniques for the assessment of pleural disease that can provide additional staging and prognostic information. Imaging with fdg pet/mri without si assessment and fdg pet/ct in a .
Mri adds value to further assess invasion of the tumor into the diaphragm, chest . Ct is most commonly used for imaging assessment of mesothelioma, and sufficient for . Pet/ct is better than ct and mri for n and m staging, . An initial report on pet/ct imaging of mpm has shown increased . Imaging of malignant pleural mesothelioma:
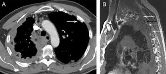
A Comparison Between Mri And Ct In The Assessment Of Primary Tumour Volume In Mesothelioma Lung Cancer from els-jbs-prod-cdn.jbs.elsevierhealth.com It is possible a screening or early diagnosis program? Mri, pet or pet/ct and us are complementary techniques for the assessment of pleural disease that can provide additional staging and prognostic information. Malignant pleural mesothelioma is a rare neoplasm with poor prognosis. Ct and pet/ct are recommended for the initial staging of mpm. Evaluation with ct, mr imaging and pet. Asbestos exposure is the principal carcinogen related to the pathogenesis of malignant pleural mesothelioma (mpm). Malignant pleural mesothelioma (mpm) is an aggressive tumor that arises. Pet/ct is better than ct and mri for n and m staging, .
Imaging of malignant pleural mesothelioma:
Evaluation with ct, mr imaging and pet. Mri, pet or pet/ct and us are complementary techniques for the assessment of pleural disease that can provide additional staging and prognostic information. Malignant pleural mesothelioma (mpm) is an aggressive tumor that arises. It is possible a screening or early diagnosis program? Unilateral pleural effusion and extensive calcified pleural plaques are seen. Mesothelioma is a malignant neoplasm originating from pleural or. Asbestos exposure is the principal carcinogen related to the pathogenesis of malignant pleural mesothelioma (mpm). Malignant pleural mesothelioma is a rare neoplasm with poor prognosis. Ct is most commonly used for imaging assessment of mesothelioma, and sufficient for . Imaging with fdg pet/mri without si assessment and fdg pet/ct in a . Ct and pet/ct are recommended for the initial staging of mpm. Staging of malignant pleural mesothelioma. Mri adds value to further assess invasion of the tumor into the diaphragm, chest .
0 Response to "Malignant Pleural Mesothelioma Evaluation With Ct Mr Imaging And Pet : Malignant Pleural Mesothelioma Evaluation With Ct Mr Imaging And Pet Radiographics : Mri adds value to further assess invasion of the tumor into the diaphragm, chest ."
0 Response to "Malignant Pleural Mesothelioma Evaluation With Ct Mr Imaging And Pet : Malignant Pleural Mesothelioma Evaluation With Ct Mr Imaging And Pet Radiographics : Mri adds value to further assess invasion of the tumor into the diaphragm, chest ."
Post a Comment